Un chico de cuatro años de la India sorprendió y preocupó a sus padres y al grupo de médicos que lo atendió luego de que escucharan el particular sonido que hacía al toser. Con cada acceso este chico sonaba como si algo silbara dentro de él.
El caso fue registrado en The New England Journal of Medicine y allí se consignó que la familia del pequeño se acercó una clínica de otorrinolaringología en busca de alguna respuesta para la persistente tos que ya venía desde hace dos días, y cuyo sonido era similar a un “silbido intermitente".
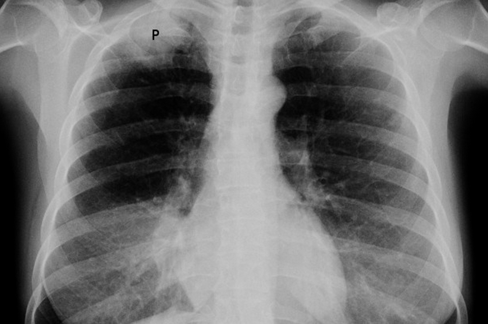
Una radiografía del tórax reveló rápidamente que su pulmón izquierdo estaba “hiperinflado”, lo que podía ser causado por un bloqueo en el paso del aire a los pulmones o por afecciones médicas que podían incluir desde asma hasta fibrosis quística, según un informe de Mayo Clinic.

Inmediatamente después, los médicos procedieron a realizar una broncoscopia, tras lo cual pudieron extraer un "objeto misterioso”. Se trata efectivamente de un silbato de juguete. Los padres del niño recordaron luego del hallazgo que su hijo había estado jugando con un silbato antes de que comenzara a toser.
Al día siguiente, una nueva radiografía demostró que el pulmón izquierdo del chico se había “desinflado” y había vuelto a la normalidad.