Salud - Intratable

Viernes 07 de Julio de 2017 - 08:51 hs

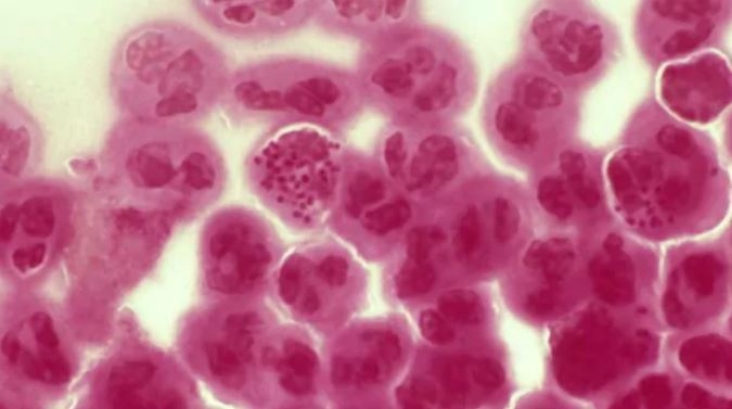
Advierten de una inminente propagación de gonorrea

Los nuevos cepos serían resistentes a los antibióticos.

Actualizado: Viernes 07 de Julio de 2017 - 09:00 hs

A lo menos tres personas en el mundo están infectadas con cepas de gonorrea totalmente intratables que es probable que se propaguen a otros a través del sexo, dijo el viernes la Organización Mundial de la Salud (OMS).

Expertos de la OMS dijeron que era "sólo una cuestión de tiempo" antes de que los antibióticos de última instancia contra la gonorrea fueran inútiles, durante la presentación de estudios que mostraron una "situación muy grave" sobre las formas altamente resistentes a los fármacos de la enfermedad de transmisión sexual.

"La gonorrea es un microbio muy inteligente", dijo Teodora Wi, especialista en reproducción humana de la agencia de salud de la Organización de Naciones Unidas, que tiene su sede en Ginebra. "Cada vez que se introduce un nuevo tipo de antibiótico para tratarlo, desarrolla resistencia", añadió.

La OMS calcula que 78 millones de personas por año padecen gonorrea, una ETS que puede infectar los genitales, el recto y la garganta.

 "La gonorrea es un microbio muy inteligente"

La infección, que en muchos casos no tiene síntomas, puede provocar enfermedad inflamatoria pélvica, embarazo ectópico e infertilidad, así como aumentar el riesgo de contraer el VIH.

Wi, quien en una conferencia telefónica ofreció detalles de dos estudios sobre la gonorrea publicados en la revista PLOS Medicine, dijo que uno había documentado tres casos específicos -en Japón, Francia y España- de pacientes con cepas de gonorrea contra las que no se conoce ningún antibiótico eficaz.

"Estos son casos que pueden infectar a otros, se puede transmitir", dijo a los periodistas. "Y estos casos pueden ser sólo la punta del iceberg, ya que faltan sistemas para diagnosticar y reportar infecciones no tratables en países de bajos ingresos donde la gonorrea es más común", agregó.

Fuente: Infobae/Reuters

Seguí leyendo